Анкилозы височно-нижнечелюстного сустава
Содержание:
Причина
Что может побудить развитие подобной патологии. Спровоцировать зарастание межсуставного пространства костной или фиброзной тканью могут перенесенные болезни и патологические состояния:
- Травмирование с кровоизлиянием в суставную полость, либо осложнение при проникновении инфекционного возбудителя. Хронические, гнойные, длительно продолжающиеся бурситы и артриты. Классическим примером такого кровоизлияния могут служить случаи гемофилии, когда больные даже при небольшом повреждении получают серьезные кровоподтеки.
- В случае артрозов. Когда разрушается суставная ткань, параллельно начинает происходить деформация рядом прилежащих тканей. Если патологическое состояние никак не лечится, то пораженное сочленение рано или поздно срастается.
- Анкилоз развивается также при лечении переломов, когда пациент вынужден длительное время пребывать в частично или полностью обездвиженном состоянии.
Фиброзный анкилоз, при котором сустав остается частично подвижным и может оказаться болезненным, появляется на фоне острого воспаления, попадания в сустав инфекции или образования кровоизлияния в полость сустава.
Причины
Неподвижность суставов вследствие анкилоза может имеет разные причины.
Наследственные факторы.
Некоторые мутации генов приводят к усилению активности молодых костных клеток – остеобластов. При этом процессы образования костной ткани начинают преобладать над ее нормальным разрушением, что сопровождается разрастанием и сращением суставных поверхностей костей. Случаи таких заболеваний бывают семейными.
Травмы и переломы.
Анкилоз может появиться после тяжелой травмы сустава или перелома костей. Одним из факторов риска патологии является гемофилия. При этом состоянии нарушена свертываемость крови, и одним из ее частых проявлений служит гемартроз – кровоизлияние в суставную полость. Многократное скопление крови в капсуле сустава ведет к воспалению и образованию избытка соединительной ткани. Постепенно фиброзные участки сменяются костным сращением.
Причиной анкилоза могут стать суставные заболевания, например, ревматоидный артрит или остеоартроз. Воспалительный процесс на поверхности сустава ведет к разрушению синовиальной оболочки, подлежащей хрящевой ткани и кости. В дальнейшем возникает разрастание соединительной ткани и сращение в полости сустава.
Инфекционные артриты.

Инфекционный артрит — одна из причин заболевания анкилозом
Воспаление приводит к повреждению суставных тканей, изменению состава синовиальной жидкости и тугоподвижности. Нарушение притока крови вызывает постепенную дегенерацию сустава и снижение его подвижности.
Неподвижность.
Отсутствие движений в какой-либо части тела может осложниться анкилозом. Это возникает при длительной иммобилизации с помощью гипса или при тяжелых заболеваниях, сопровождающихся неподвижностью больного (например, последствия инсульта в виде паралича). Анкилоз может возникать и у пациентов, пользующихся инвалидными колясками вследствие невозможности передвигаться.
Причины анкилозирования
Сращивание костей в суставе обусловлено патологическим разрастанием костной, фиброзной или хрящевой ткани. Распространяясь на соседние поверхности сочленения, она склеивает их в одну кость, которая постепенно утрачивает функции сустава. Причиной анкилоза может являться инфекционное поражение сустава или частая травматизация колена.

Заболевание чаще всего возникает как следствие:
- внутрисуставных переломов;
- туберкулеза костей;
- артрита или артроза различной этиологии;
- повторных микротравм, которые возникают из-за постоянных чрезмерных нагрузок;
- частых кровоизлияний в суставную сумку;
- анкилозирующего спондилита;
- неспецифических суставных инфекций.
Также анкилоз может возникнуть при длительном ношении гипса или бандажа, который обездвиживает ногу, не давая колену сгибаться
Но и преждевременное снятие повязки приводит к анкилозированию, поэтому при травмах колена важно четко придерживаться рекомендаций врача-травматолога
Особенности лечения
Важна задача терапии – восстановление функционирования суставов. При этом требуется полноценное лечение.
Применяются следующие методики:
- оперативное вмешательство;
- консервативное лечение включает медикаментозные средства и физиопроцедуры.
При наличии в суставе воспалительного процесса требуется купирование. Хирургические методы применяются, если сустав зафиксирован в неудобном положении.

Способы оперативной коррекции
При лечении применяются следующие хирургические методы:
- Эндопротезирование сустава – это процедура по полной замене сустава при осложнениях.
- Редрессация – сдавливание или растяжение тканей для их полноценного восстановления.
- Остеотомия – выпрямление конечностей.
- Артропластика сопровождается разъединением суставных элементов и размещением между ними специальной прокладки из эластичной ткани.
У операции есть и определенные противопоказания. Например, полная атрофия мышц, обширные рубцовые поражения и риск рецидива.
После устранения воспалительных явлений операцию можно проводить не ранее, чем через 7-8 месяцев. Если послеоперационная рана загноится, то анкилоз может вновь сформироваться.
Консервативные методики

Рассмотрим, какие еще способы лечения используются при анкилозе левого и правого тазобедренного сустава:
- Терапия медикаментами – антибактериальными, нестероидными противовоспалительными и обезболивающими средствами.
- Комплексная ортопедическая терапия.
- Лечебная гимнастика.
- Массаж и мануальная терапия.
- Физиотерапевтические процедуры.
При фиброзной форме болезни применяются обезболивающие препараты совместно с качательными движениями.
В процессе лечения необходимо использовать разные методики комплексно
При этом важно соблюдать все врачебные рекомендации
Важно начать лечение как можно раньше, еще на стадии формирования фиброзных спаек. При отсутствии положительных сдвигов в лечении может присваиваться определенная группа инвалидности
Такое происходит при заболевании прогрессирующего характера, а также при внутренних патологиях и рецидивах.
Инвалидность выдается и при протекании хронического заболевания с противопоказанием к трудоустройству.
Лечение анкилоза
Это заболевание может быть устранено путем полноценного длительного лечения. Физиотерапия, лекарства и лечебная гимнастика помогают устранить боль и уменьшить тугоподвижность суставов. Правильно составленная программа упражнений способна постепенно увеличивать диапазон движений в больном суставе. Очень полезны занятия йогой.
Основные способы консервативного лечения:
- ритмичные сокращения мышц, если конечность находится в гипсе;
- мануальная терапия;
- лечебный массаж;
- противовоспалительные и обезболивающие наружные средства и таблетки;
- инъекции глюкокортикоидных гормонов внутрь сустава;
- физиотерапевтические методы – электрофорез, УВЧ, магнитотерапия.
В более тяжелых случаях при анкилозе используется хирургическая операция — артропластика. Во время нее врачи разделяют аномальные сращения кости и окружающие ткани. Внутрь сустава устанавливают синтетические прокладки, восстанавливающие движения в нем. В современных ортопедических стационарах используется артроскопическая артропластика. Эта операция позволяет восстановить подвижность в суставе с помощью введения миниатюрных инструментов в суставную полость без разрезов и травмирования окружающих тканей. Это значительно улучшает исход лечения.
В некоторых ситуациях необходимо удаление всей анкилозированной области и эндопротезирование. При сращении костей в неудобном положении проводится остеотомия – рассечение с последующей фиксацией в функционально выгодной позиции.
Протезирование широко используется при анкилозе височно-нижнечелюстного сустава, это помогает полностью восстановить его функцию. В дальнейшем пациент может без затруднений открывать рот, разговаривать, принимать пищу.
После операции назначается курс физиотерапии и лечебной физкультуры.
Исход заболевания в большинстве случаев благоприятный. После завершения курса лечения пациенты возвращаются к нормальной жизни. Если же не лечить анкилоз, появляется опасность более тяжелых осложнений, прежде всего тендинитов (воспаления сухожилий) и вывихов в суставах.
https://youtube.com/watch?v=fuH5b7HWLj8
Симптомы
Анкилоз имеет симптоматику, схожую с проявлениями контрактуры – то есть, когда в суставе происходит ограничение двигательных возможностей из-за укорочения тканей сустава или околосуставных связок и мышц.
Большая часть симптоматики будет основана на положение, в котором произошло сращивание и фиксация конечности. Анкилоз фиброзный оставляет возможным производить качательные движения ногой. Будет ощущаться болезненность внутри сустава, а вот при развитии костной разновидности болеть ничего не будет, но и сустав становится совершенно неподвижным.
Если у вас обнаружилось затруднение при движении в суставе, нужно в ближайшее время обратиться к врачу.
Задача врача – не только осмотреть пациента, но и назначить ему соответствующее диагностическое обследование – рентген, МРТ, чтобы выяснить окончательное состояние сустава и прилегающих к нему тканей.

Что такое анкилоз
Анкилоз представляет собой патологические изменения в суставе, которые привели к полной его неподвижности. Этот процесс начинается благодаря тому, что происходят дегенеративные трансформации хрящевой части.

Для предотвращения образования анкилоза, больному, который имеет пораженный сустав, надо очень тщательно относиться к его лечению. Прежде это касается людей, которые болеют артрозами, артритами, а также имеют внутрисуставные травмы.
Для соответствующего назначения консультации надо обратиться к врачу. Для того чтобы уточнить стадию и провести более всестороннюю диагностику, может быть назначен рентген, диагностика на компьютере и томография.
Чтобы не допустить серьезных последствий, необходимо осуществлять лечебные физкультурные упражнения, делать зарядки, посещать санаторно-курортные заведения, проходить курсы массажной терапии.
Классификация
Анкилоз бывает:
- костный (истинный);
- фиброзный (рубцовый).
Диагноз «костный анкилоз» ставят в том случае, когда концы повреждённых костей соединяются друг с другом при помощи костной ткани на разном её протяжении. Отличие фиброзного анкилоза в том, что между концами костей есть фиброзная ткань. В ней могут быть остатки хряща или синовиальной оболочки.
Эти разновидности заболевания отличает и внешний признак: при первом типе болезни сочленения лишены подвижности, а при втором человек может слегка шевелить пальцами, рукой или ногой.
В медицине различают анкилозы по нескольким признакам.
По степени пораженности они бывают:
- Полные.
- Неполные.
Первые не позволяют надеяться на восстановление, поскольку движение в суставе отсутствует полностью. Вторые диагностируют, когда есть небольшая подвижность, которую можно увеличить.
Следующий признак классификации этого заболевания — расположение.
Согласно ему классифицируют анкилозы:
- капсулярный (место соединения находится внутри капсулы);
- внутрисуставный;
- внесуставный (кости соединяются вне сустава или сращиваются с окружающими мягкими тканями).
Анкилозом могут быть поражены такие мелкие и крупные суставы:
- Нижнечелюстной.
- Коленный.
- Тазобедренный.
- Локтевой.
- Голеностопный.
- Позвоночника.
Часто подвержены такой патологии пальцы верхних и нижних конечностей, они деформируются и перестают сгибаться.
При анкилозе колена (в результате артроза или травмы) срастание может происходить в функционально невыгодном положении (под углом), когда самостоятельное передвижение без приспособлений невозможно. Выпрямленное положение нижней конечности позволяет ходить, но меняет походку.
Локтевой и плечевой суставы поражаются во время травмы, бедро — после перенесённого туберкулёза или длительного пребывания в неподвижном состоянии, голеностоп — в результате травмы или инфекции. Если повреждённый во время травмы сустав голеностопа неправильно (или недостаточно) лечили, то щиколотка перестаёт выполнять свои функции, и стопа перестаёт двигаться.
Болезнь Бехтерева относят к хроническим заболеваниям. Если диагноз поставлен на ранней стадии и больной получил качественное лечение, то болевые ощущения и скованность будут сведены к минимуму, а деформации суставов и неспособность обходиться без помощи уменьшатся.
Лечением таких патологий занимаются ревматологи. Врачи предлагают 2 варианта терапии: консервативную и оперативную (хирургическую).
Анкилоз
Определение
Это сведение челюстей, характеризующееся значительным ограничением или полным отсутствием движений в височно-нижнечелюстном суставе, связанное со стойкими фиброзными или костными сращениями внутри сустава с суставной впадиной височной кости, а нередко и окружающих сочленение тканей. Заболевание развивается в основном в детском и юношеском возрасте.
Этиология и патогенез
Причинами его могут быть травма, послеродовые травматические повреждения, воспалительные процессы вблизи мыщелкового отростка (отит, мастоидит, остеомиелит ветви нижней челюсти). В результате патологического процесса (артрит, травма) происходит повреждение мягких тканей суставных поверхностей сочленения, мутнеют хрящевые поверхности. Мениск расщепляется на волокна. Суставная капсула сморщивается. Синовиальная оболочка перерождается. Хрящ постепенно исчезает. Обе суставные поверхности превращаются в плотную рубцовую соединительную ткань (фиброзный анкилоз), которая затем окостеневает, т. е. возникает костный анкилоз. Фиброзный анкилоз развивается в период законченного формирования лицевого скелета. Деформация нижней челюсти при этом отсутствует.
В начальной стадии заболевания ограничено открывание рта. Амплитуда движений нижней челюсти постепенно сокращается. В поздней стадии могут сохраниться эти движения лишь в горизонтальном направлении. При пальпации суставные головки в большей или меньшей степени подвижны. Анкилоз височно-нижнечелюстного сустава может быть односторонним и двусторонним, а также полным или частичным. При частичном костном анкилозе сохраняются остатки суставного хряща и участки поверхности суставной головки, при полном — развивается неподвижность нижней челюсти. При одностороннем анкилозе наблюдается смещение средней линии лица в сторону поражения, определяются уплощение тканей по ходу тела нижней челюсти на неповрежденной стороне и взбухание на стороне поражения за счет укорочения ветви и тела нижней челюсти. При пальпации суставных головок движения в пораженном суставе не определяются, а в суставе противоположной стороны ограничены. Отмечаются множественное разрушение зубов, обильные зубные отложения с явлениями гингивита; прикус перекрестный. При двустороннем анкилозе резко выражено западение подбородочного отдела нижней челюсти вследствие укорочения с обеих сторон основания тела и ветвей ее. Передний отдел верхней челюсти как бы нависает над нижней. Нарушается прикус. Часто передние нижние зубы контактируют со слизистой оболочкой неба. Наблюдается их дистопия (веерообразность расположения фронтальных зубов). Премоляры и моляры смещены в язычную сторону, корень языка смещен кзади, речь невнятная, имеется нарушение ритма и глубины дыхания, сон сопровождается сильным храпом. Прием пищи затруднен.
Лечение
Лечение следует начинать с консервативных мероприятий. В начальной стадии заболевания следует использовать физиотерапевтические методы (фонофорез, ультразвук), рассасывающие медикаментозные средства (раствор йодида калия, лидаза, гиалуронидаза, гидрокортизон). Иногда больному внутрь сустава путем инъекции вводят по 25 мг гидрокортизона 2 раза в неделю, всего 5—6 инъекций. Под влиянием гидрокортизона рассасываются (особенно молодые) фиброзные спайки внутри сустава. При недостаточном эффекте терапии возможно проведение насильственного открывания рта (редрессации) в сочетании с указанными методами лечения и механотерапией. Лечение костного и стойких форм фиброзного анкилоза хирургическое. Оно направлено на восстановление функции нижней челюсти и устранение деформации путем создания ложного сустава, восстановления размеров, анатомической формы нижней челюсти и прикуса.
Лечение анкилоза
Специфика анкилоза такова, что консервативное лечение и медикаментозная терапия может быть показана только в начальной стадии, когда частичная подвижность в суставе еще сохранена.
Если же межсуставной промежуток полностью занят фиброзной или костной тканью и, то исправить ситуацию сможет только оперативное вмешательство.
Лечение ложного или фиброзного анкилоза
Внутрь сустава вводят нестероидные противовоспалительные средства и гормоны. Это связано с тем, что при частичной подвижности пациент будет испытывать болезненные ощущения, в то время как при полностью обездвиженном суставе боли уже отсутствуют.
Фиброзный (ложный анкилоз) характеризуется частичной подвижностью сустава. Для исправления патологии назначается активный массаж, сустав разрабатывают с помощью вытяжения и гимнастических упражнений. Для фиброзного анкилоза характерно применение физиотерапии – электрофорез, УВЧ, лазерная физиотерапия с применением средств, способствующих рассасыванию фиброзной ткани.
С помощью подобного воздействия, как правило, есть возможность частично восстановить подвижность сустава, однако полностью восстановить подвижность не удастся. В сочленении будет заметна скованность движения.
Лечение истинного или костного анкилоза
При подобном развитии событий подвижность сустава утрачивается полностью, чаще всего подобное проявление сопровождается деформацией сустава. В данной ситуации оперативное вмешательство – единственный способ вернуть сочленению подвижность.
Вариант артропластики. Хирург-ортопед рассечет сросшийся участок, уберет лишнюю фиброзную или костную ткань. Далее, между освобожденными поверхностями будет проложена искусственная прослойка, заменяющая разрушенную хрящевую ткань.
Успех такого метода зависит от выраженности повреждений поверхности сочленяющихся костей. Такая операция будет результативной при ложном анкилозе, а вот при истинной форме такая операция разве что будет способствовать частичному облегчению движения, чтобы пациент мог самостоятельно за собой ухаживать.
Второй вариант, более радикальный – эндопротезирование. Замена разрушенного сустава искусственным способна полностью восстановить функционирование. При этом собственный сустав больного удаляется полностью. Подобная операция очень дорогая, кроме того, к ней у пациента могут быть противопоказания, такие как возраст и ограничения на применение наркоза. Кроме того, протезы могут отторгнуться организмом. Если же все прошло успешно, то со временем изношенный протез подлежит замене.
Причины развития патологии
Анкилозы — это патологии суставов, которые характеризуются их полной или частичной неподвижностью. В Международной классификации болезней (мкб-10) это заболевание значится под кодом М24.6.
Человек узнаёт о том, что такое анкилоз, после перенесённых травм (особенно с развитием гнойного процесса), которые отражаются на состоянии костей. В этих частях скелета начинается воспаление и постепенно происходит их разрушение. Дисфункция проявляется в том, что меняется амплитуда движений конечностей. Со временем последствия ударов, падений приводят к обездвиживанию.
Кроме травм, к развитию полной закостенелости способствуют:
- воспалительные заболевания (артрозы и артриты);
- переломы внутри сустава;
- длительное ношение гипсовой повязки.
Двигательный блок в конечностях происходит из-за того, что повреждается хрящевое покрытие поверхности. Если выделяется гной, то это приводит к дегенеративным процессам.
Анкилоз может начать развиваться у плода во время его внутриутробного развития из-за дефекта мускулатуры.
Этапы развития анкилозирования следующие:
- Появляется грануляционная ткань.
- Происходит разъедание хряща.
- Образовавшаяся после грануляции соединительная ткань спаивает концы сочленения.
Эта болезнь распространяется не только на суставы, она может поразить, например, зуб. Чтобы не нарушился зубной ряд, у больного удаляют поражённый зуб и ставят коронку.
Если болезнь сопровождается хирургической инфекцией, то её течение осложняется анкилозом и контрактурой.
Различают 3 термина, касающиеся дисфункции суставов:
- Контрактура (уменьшение подвижности из-за укорочения тканей внутри сустава и вне его).
- Тугоподвижность (движения не превышают 3–5°).
- Анкилоз (подвижность в суставе меньше 3°).
Эти патологии со временем приводят к вялости мышечной ткани (атрофии). Чтобы мышцы привести в норму, требуется много времени.
Профилактика
Предотвратить появление анкилоза, вызванного генетической мутацией, невозможно. Во всех других случаях нужно принимать меры профилактики этого осложнения:
- избегать повреждений суставов во время занятий спортом и подвижных игр;
- вовремя обращаться к врачу для лечения повреждений костей, чтобы предотвратить появление более серьезных нарушений;
- при ревматоидном артрите и остеоартрозе регулярно посещать врача для своевременной диагностики тугоподвижности суставов;
- регулярно выполнять физические упражнения или лечебную гимнастику для суставов;
-
правильно проводить реабилитацию после переломов, иммобилизации, осуществлять полноценный уход за малоподвижными больными.
Анкилоз что это
Давайте выясним более подробно, что это такое анкилоз. Его код по мкб 10 — М00 — М99. Стоит отметить несколько факторов, которые ведут к уменьшению подвижности перемещений сустава.
Это нарушение кости в суставах, которое образуется в результате повреждений. При образовании гнойного процесса возникает вырождение хряща и разрастание фиброзной и соединительной ткани.
Анкилоз может сформироваться при продолжительном ношении гипса. Причиной болезни может стать осложнение при используемой терапии.
Также недуг часто возникает при воспалительных реакциях – артритах и артрозах. Внутрисуставные переломы могут спровоцировать дегенеративные изменения в хрящевом покрове, в результате чего формируется фиброзный или костный анкилоз. Следствием анкилоза может стать резко выраженная контрактура, при которой конечность не получается согнуть или разогнуть.
Диагностика
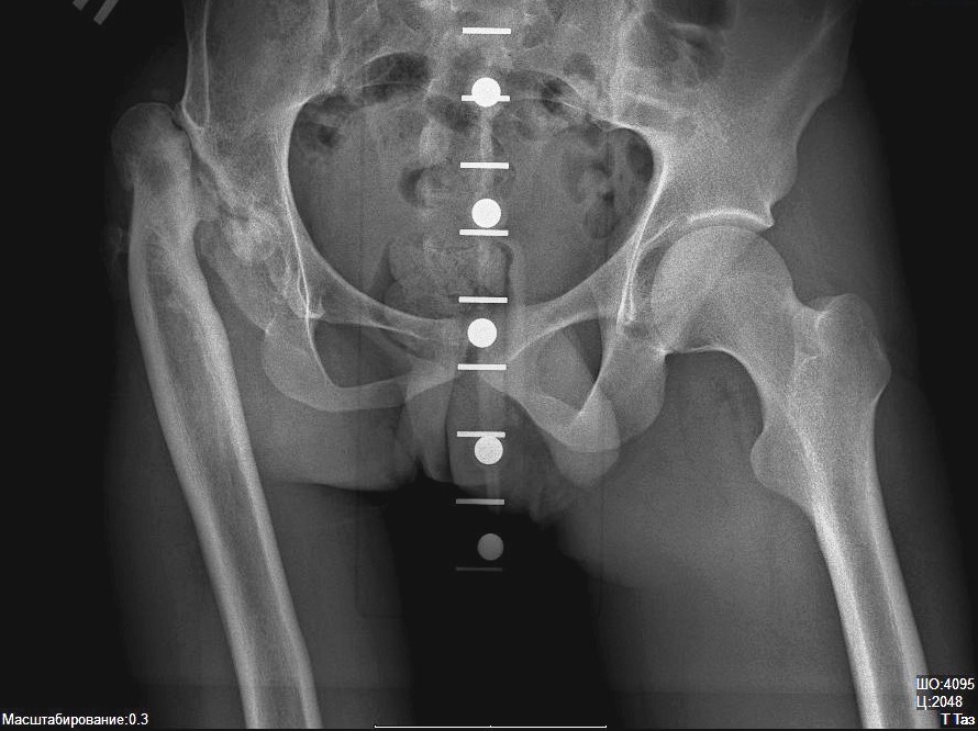
Основа распознавания анкилоза – визуализирующие методики, такие как рентгенография костей и суставов, компьютерная или магнитно-резонансная томография. С их помощью определяется сужение и прерывистость суставной щели или ее полное заращение.
Для уточнения анатомических особенностей сустава используется ультразвуковое исследование. Оно помогает оценить состояние не только костей, но и хрящевых поверхностей, связок, суставной капсулы.
Для дифференциальной диагностики с другой суставной патологией необходимо определение количества в крови мочевой кислоты. Это помогает в диагностике подагры. Биохимический анализ с определением уровня мочевины и креатинина дает возможность исключить тугоподвижность сустава на фоне хронической почечной недостаточности.








